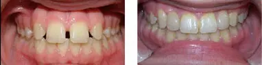
Dr. Eric Wu and his team provide quality orthodontic care with braces and Invisalign® for patients of all ages in the Palo Alto area including Los Altos, Menlo Park, Stanford, Atherton, Mountain View, Woodside, and Redwood City California. Contact our office for your initial “Smile Evaluation” consultation.